About treatment
矯正治療
当院は、歯列矯正、噛み合わせ、顎関節治療などの総合的な歯科矯正を専門とする歯科医院です。
歯科矯正というとお子さんが対象と考える方が多いのですが、当院では成人~中高年の患者さんも矯正治療を多数行っています。
皆さんがご存知のように、「噛む」ことは、生きていくうえでとても重要なことです。
歯がなかったり、歯並びや歯の形が悪いために噛み合わせが悪くなると、きちんと噛めなくなり心身の健康にも影響を及ぼします。
たとえば、虫歯の治療で歯を削って人工物を入れた部分が原因で噛み合わせに狂いが生じたり、入れ歯を入れたことで残っている歯に乱れが生じたり、口の中の経年変化により矯正治療が必要になる中高年の方が多数いらっしゃるのが現状です。
当院では、入念なカウンセリングで患者さんの訴えやご要望をお聞きし、問題点を整理して治療のゴールを設定しています。
矯正治療と顎関節
噛合わせと顎関節症は密接に関連していますが、歯並びが原因で顎関節症を誘発するという明確な研究報告はいまだありません。
従って歯並びと顎関節症を安易に関連付けて治療するのは危険です。
しかし現実には、噛み合わせが顎関節の状態に影響をおよぼしている可能性が高いと考えられる患者さんも存在します。
まずはしっかりとした検査と診断を行うことが必要です。
治療方法は顎の痛み、顎のひっかかり、音などの症状と年齢、そして経過などによって様々です。
渋澤矯正歯科では日本顎関節学会専門医が顎関節の診断をおこない、治療方針を決定いたします。
顎関節内障とは?
顎関節内障とは顎関節に器質的変化のある状態(関節円板の転位および下顎頭骨変化)をさします。
一般的に復位性円板転位では、開口時の関節雑音を伴い、非復位性円板転位では、開口障害を生じます。
慢性化すると症状は様々です。
歯軸の重要性
歯軸とは、歯の長軸と上下顎基準平面との角度を意味しています。
審美的改善、機能的安定を獲得するには個人個人に合わせた歯軸の設定が必要です。
また、歯軸の設定は矯正治療時の抜歯判定の基準として用いられます。
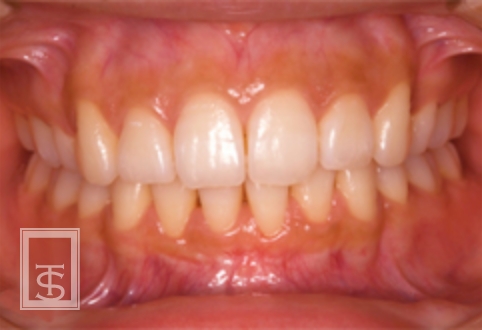
スマイルライン(Smile line)
唇、歯肉、前歯により影響を受けるのがスマイルライン(Smile line)です。
歯の排列位置によって調和のとれた笑顔が獲得されます。
矯正治療の流れ
-
- 初診相談
- この時に患者さんの主訴、視診による現症の把握を行い、矯正治療の概略をご説明いたします。
-
- 検査
- 顔貌、口腔内、模型、機能、レントゲンなどの診査を行います。
必要に応じてCT、MRIの撮影も行います。
-
- 診断
- 検査結果から個人個人に合わせた治療方針をご説明いたします。
-
- 動的治療
- 矯正装置による歯の移動を行います。
-
- 静的治療
- 歯の移動後の安定を図ります。
この時は保定装置という取り外し可能な装置を使用します。
-
- メンテナンス
- 矯正治療終了後の口腔内経時的変化の管理を行います。
特殊治療(包括歯科治療)
全ての不正咬合患者が矯正歯科治療のみで口腔内を改善出来るわけではなく、成人においてはむしろ複合的な問題により包括的な歯科治療が必要となります。
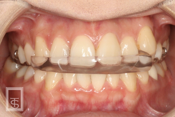
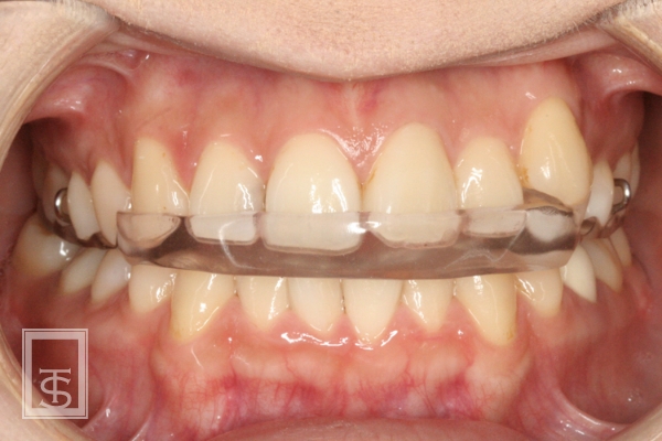
スプリント療法(Splint therapy)
顎関節症治療に用いられている方法で、マウスピース型の装置を口腔内にはめて、顎関節症の原因となっている口腔習癖や左右の顎のアンバランスを改善する治療法となります。
顎関節症状の有る場合、潜在的に顎関節のリスクが高い場合、顎位の不安定な場合などに症状の改善、顎関節のリスク評価、顎位の確認などに行います。
通常は上顎にマウスピース状の装置を使用します。
使用期間は症状や使用状況により異なります。
自家歯牙移植術(Transplantation)
ご自身の歯を抜歯し、抜いた部位ではない他の部位に移植する手技のことになります。
歯の先天性欠如などの場合には有効な治療となります。
年齢、歯槽骨、歯などのコンディションにより治療の詳細には差がございます。
また、多くの場合、移植後に矯正治療や補綴治療が必要となります。
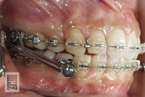
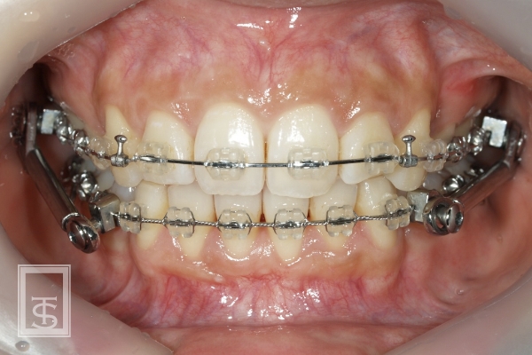
ハーブスト装置(Herbst appliance)
下顎骨成長促進、下顎骨前方誘導を行う装置となります。
CTG = 結合組織移植術
(Connective Tissue Graft)
歯肉退縮の根面被覆の方法の一つで、歯茎の足りない部分に移植を行う外科手術を指します。











